
Heute haben wir unser Esszimmer ausgeräumt und die Wurfkiste aufgebaut. Ich glaube Abby ist mit dem Ergebnis sehr zufrieden. Jetzt sind es noch ca 12 Tage und ich bin so gespannt.
Kategorie: C-Wurf
Die sechste Woche der Trächtigkeit
Abby ist tragend
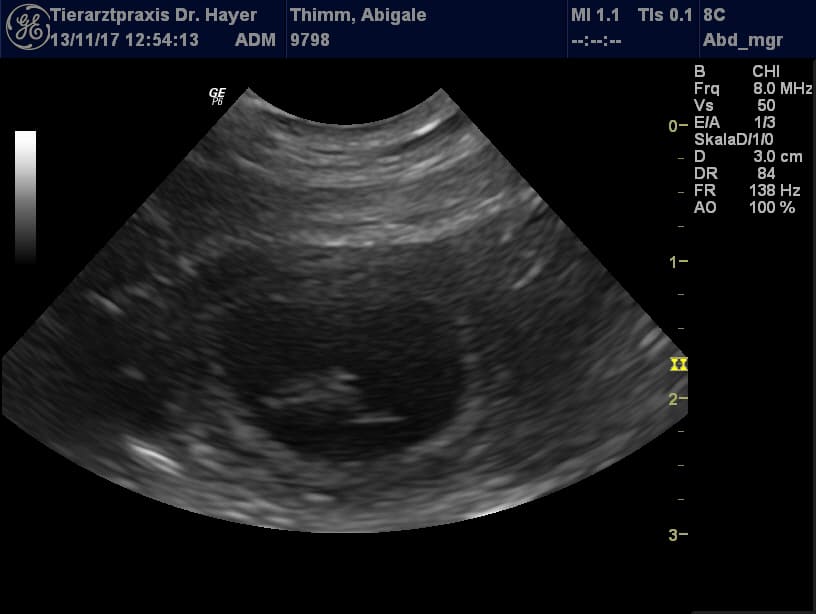
Heute waren wir zum Ultraschall und konnten einen ersten kleinen Blick auf unsere C-chen werfen. Abby geht es super. So ein schönes Geschenk zu ihrem vierten Geburtstag :-). Ich freue mich sehr auf die kommende spannende Zeit und hoffe, dass alles so problemlos weiter läuft.
Geburtstermin ist um den 22. Dezember
Zurück von der Hochzeitsreise
Wir melden uns zurück aus unserem Kurzurlaub in Österreich.
Abby wurde am letzten Wochenende problemlos von Pead gedeckt. Nun hoffen wir, dass unsere Reise auch Früchte trägt :-). Mehr wissen wir in etwa 3 Wochen.
Vielen lieben Dank an Andrea Haas und Heidi Krenkl für die Gastfreundschaft.



